111 rue Villiers de l’Isle Adam 75020 PARIS - 01 40 31 70 54
ACCUEIL
Dr FOURNIER
ESTHÉTIQUE
SANTÉ
PROTHÈSES
IMPLANTOLOGIE
ESPACE PATIENT
GALERIE PHOTOS
CONTACT
ACCÈS
GALERIE PHOTOS
Home
|
GALERIE PHOTOS
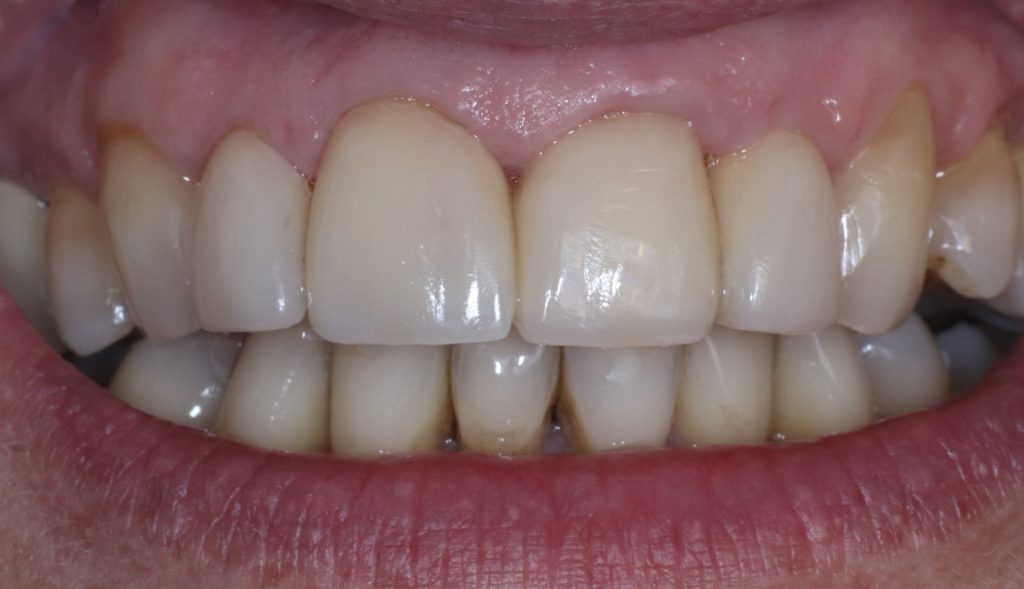
Couronnes et bridges
Prothèse sur implant
Prothèse complète
Contentions
Galerie
Les contentions orthodontiques